氟斑牙是常见的一种牙齿色度问题,黑黄的牙齿不仅不利于个人形象,若是不及时治疗 ,这种不健康的牙齿易吸附口腔细菌,从而增加了患上口腔疾病的风险,更有甚者,会导致牙齿缺损。因此,遇到这种问题一定要 及时发现,及早治疗!那么,氟斑牙由浅至深有哪些症状?

氟斑牙由浅至深各阶段会出现哪些特征?
一、轻度氟斑牙的牙釉质表面有白垩状斑块,釉质仍有硬度和光泽;
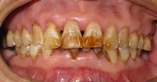
二、中度氟斑牙的牙釉质出现黄褐色或暗棕色斑块,牙釉质仍光滑坚硬;
三、重度氟斑牙多数牙甚至全口牙出现黄褐色斑块,同时有线状、点状或窝沟状缺损,凹陷内有较深的染色,牙面失去光泽。
口腔医师表示,牙齿问题并不是一成不变的,它会随着时间的推移扩大化,所以为了避免口腔问题无法挽回,发现牙 齿有异常,一定要及时治疗,不要小洞不补大洞吃苦!

