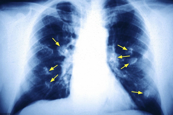
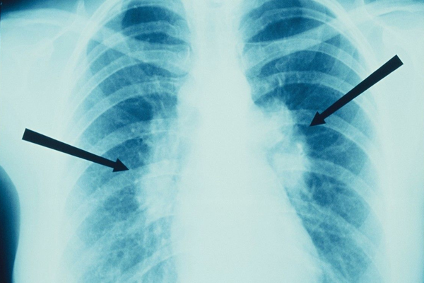
有朋友在体检时查出了肺部长了小的结节,很担心这是不是癌症。而且平时也身体上也没有什么特别之外,没有咳嗽等症状,用不用管它呢?虽然不痛不痒,但也确实不让人胡思乱想,肺结节不是某个具体疾病名称,而是一种检查的表现,若是我们将结节确定是什么,才知道它到底是什么疾病。
肺部结节也有好坏之分,怎么区分肺结节的良恶?

从光滑程度看,良性的结节外形是比较光滑的,并且边界清晰;恶性的结节表面粗糙,边界不清晰。从形状看,良性的肺结节通常是圆形或是椭圆形的;而恶性的结节很少有这两种形状,大多是葫芦状的。从长大的速度来看,良性的结节几个月或是几年可能变化都不是很大;恶性结节很可能会随着时间的变化而慢慢长大。从软硬程度来看,如果是质地较硬的结节通常就是良性的;而恶性结节不会完全钙化的,质地不是很硬。从外侵的迹象来看,良性的结节通常不会有外侵的情况发生,不影响周围的器官组织;恶性结节很大可能会入侵到周围的组织,影响到其它的组织。
肺结节就是肺癌吗?
肺部小结节不能说就是早期的肺癌,像炎症、结核等都可能会在肺部形成结节,所以它的诊断是各种各样的。但是我们不得不小心恶性的肺部结节,若是发生病变那很可能会形成肺癌。而且也不能说良性结节就是绝对的安全的,若是转为恶性的结节,也是很不利的。若是结节突然长大,或是性质发生了改变,一定要及时就医诊治,以免错过了最佳的治疗时间。
不管是不是肺癌,生活当中都要注意这些事情
肺管理着全身的皮肤,一个人的皮肤是否光泽白皙、有弹性,主要跟肺的功能良好情况有关。如果肺功能出现了问题的话,皮肤就会呈现锈色,发生晦暗。主要就是因为当中的毒素比较多,因为肺的作用聚集在皮肤当中,那么皮肤看上去就会失去光泽。肺脏和大肠的系统息息相关,如果肺有了毒素,那么肠道内相对都会有一些不正常的淤积,所以肺出现问题时,患者也会有便秘的情况发生。平时我们要保证饮食和排便的规律,有了便意不要憋着。
不要多愁善感,长期处于焦虑或是悲伤的情绪当中,那么就会干扰肺的气血的运行,毒素就会堆积在肺当中。当肺不能够正常的舒畅,心中的闷气,在长期的压抑之后,那么心情就会越来越差,一直焦虑。给肺部带来过大的负担,所以平时也要保持稳定的心态,这样才有利于保养肺部。
肺部长了小结节,只要平时注意观察,定期的做好体检,没有恶变的话,都是不用过于担心的。但是要从生活习惯开始改变,不要抽烟,这样会给肺部带来过大的负担。




