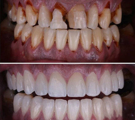
可乐龋是咋回事儿?越来越多的青少年患有牙齿酸蚀症,而他们也大多拥有相同的爱好:嗜好可乐等碳酸饮料。

这些患者门牙牙齿颈部最开始出现半月形白斑,长期则形成环形缺损,牙齿不仅有冷热酸甜痛,还会有发黑变色,严重影响美观和正常社交,同时也影响着牙齿的功能和生活质量。过度饮用碳酸饮料是会引起蛀牙的,这类蛀牙俗称:可乐龋。
为避免 "可乐龋"的发生,应做到以下几点:
1、尽量减少碳酸饮料的摄入;
2、坚持每天刷牙,至少早晚各一次;
3、饮用饮料后马上饮用水漱口
4、尽量选用含氟牙膏,促进脱矿牙齿的再矿化;
5、对于已经形成的酸蚀损害,应尽快咨询专业口腔医生进一步修复治疗。
放下手上的可乐,牙齿很贵



