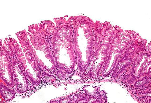
在了解大肠上皮内瘤变之前,我们必须弄清楚大肠肠壁分为哪几层。
大肠由里向外依次为黏膜层、黏膜下层、固有肌层及浆膜层(图48,图49)。

(1)黏膜层由内向外又可以分为3层:黏膜上皮层、黏膜固有层和黏膜肌层。黏膜层内无血管和淋巴管。黏膜肌层是黏膜层和黏膜下层的分界线。
(2)粘膜下层疏松结缔组织,含较大的血管、神经、淋巴管及脂肪细胞。
(3)固有肌层分为内侧的环形肌和外侧的纵行肌,均为平滑肌。
(4)浆膜层有时又称为外膜层,位于大肠壁的最外层,为一层薄的纤维膜。
(一)上皮内瘤变的概述
上皮内瘤变是世界卫生组织(WHO)在2000年提出的,应用在大肠肿瘤病理诊断领域的一个新名词。大肠的上皮内瘤变是指肿瘤细胞局限于黏膜层内,是大肠的良性肿瘤。
现代医学认为当大肠的肿瘤细胞局限于黏膜层内,由于黏膜层内没有血管和淋巴管,所以不会发生淋巴结转移和远处转移,属于良性肿瘤;而当肿瘤细胞突破黏膜肌层侵犯至黏膜下层时,由于黏膜下层有较大的血管和淋巴管,就有可能发生淋巴结转移和远处转移,属于恶性肿瘤,也就是说形成大肠癌了(图50)。
以往,我们通常将那些局限在黏膜层内的肿瘤称为黏膜内癌、原位癌或者局灶癌变,现在它们都包括在上皮内瘤变中。
长期以来临床上所用于描述细胞发生变化的“不典型增生( atypically perp/asia)”和“异型增生( dysplasia)”现在也一概纳入“上皮内瘤变”这一范围。因此从新的观点来看,不论是高度不典型增生或异型增生、原位癌、局灶癌、黏膜内癌,以及可疑癌变等名称与上皮内瘤变是同义词,不能称为“癌”。
只有当肿瘤细胞浸润至黏膜下层时才可诊断为癌。这样规定的主要目的是避免临床医师见癌就开刀,导致过度治疗,给患者造成不必要的伤害,同时也减轻患者的精神和心理负担,以免“闻癌色变”。
根据细胞及腺体的异型性程度、浸润黏膜层的深度,可以将大肠上皮内瘤变分为低级别和高级别两类。其中,低级别上皮内瘤变的肿瘤细胞及腺体的异型性较低,侵犯的深度较浅。而高级别上皮内瘤变的肿瘤细胞及腺体的异型性高,侵犯程度深。
(二)大肠的上皮内瘤变与大肠癌的关系
在推行上皮内瘤变这样一个新概念中,癌与瘤的差别实在太大了,一字之差,治疗和预后完全不同。大肠的上皮内瘤变是指肿瘤细胞局限于黏膜层内,是良性肿瘤,预后好;而大肠癌是指肿瘤细胞侵犯了黏膜下层,是恶性肿瘤,需要开腹手术,预后差。
黏膜层和黏膜下层的分界线就是黏膜肌层。如果肿瘤细胞还没有突破黏膜肌层,就是上皮内瘤变,属于良性肿瘤;而一且肿瘤细胞突破了黏膜肌层进入了黏膜下层,就是大肠癌了,属于恶性肿瘤。所以,上皮内瘤变离大肠癌只有一步之遥,两者最重要的区别在于肿瘤细胞是否突破黏膜肌层。
如果是低位直肠肿瘤病检是上皮内瘤变,是不是就不用做手术了?
要分情况来定,如果肿瘤体积小,可移动,那么在内镜下切除就好了,预后也好。
如果肿瘤体积比较大,那么就需要手术切除了。低位直肠肿瘤可能面临改道切除,需要在肚子上做一个造口排便。
许多患者很难接受改到手术,尤其如果是可移动的上皮内瘤变的肿物,直肠改道还比较可惜,所以可以考虑做冷冻消融治疗。
冷冻消融治疗,是一个冷冻探头从肛门进入,直接作用在肿瘤上,通过零下190度的低温,将肿瘤组织消融掉,这样的过程因为没有切割皮肤和其他组织,所以保留了肛门功能。而且对于早期的上皮内瘤变的肿瘤来说,冷冻治疗同样预后很好。



