烤瓷牙的危害、后遗症、副作用是什么? 牙医来告诉你

经常遇到有患者朋友问我烤瓷牙的危害是什么、后遗症是什么、副作用是什么等等。这样的问法其实不太恰当,烤瓷牙是一项有几十年历史的成熟技术,本身并没有问题。那么为什么那么多患者做了烤瓷牙后后患重重呢?
这是因为国家制度的不规范,导致了烤瓷牙的滥用。大致的原因有二:一是国内医学界浮躁拜金,很多牙医单纯逐利,诱导不适合做烤瓷牙的患者做了大量不该做的烤瓷牙;二是很多不具备资质的“牙医”也在滥做烤瓷牙;所以国内形成了一个只有中国才有的怪现象:“做牙科只做修复,做修复只做烤瓷牙”,烤瓷牙成了几乎可以解决一切牙齿问题的万金油,“七天矫正牙齿不齐”、“美容冠”、“明星牙”大行其道,这些看起来美妙的疗法令患者痛苦不堪,悔恨不已。
牙医告诉您:
烤瓷牙在适应症选择恰当、设计合理、制作精良的情况下,应该促进口腔功能,是不应该引发口腔问题的,不应该存在继发危害、后遗症、副作用等问题。
“烤瓷牙只有在使用不当、粗制滥造的情况才会危害口腔健康,引发一系列后遗症。”
那么,烤瓷牙使用不当,做的不好会出现那些问题呢?出现问题怎么办?
烤瓷牙做的不好往往会出现以下问题:
1、冷热刺激疼痛
2、咬合疼痛
3、颜色不好
4、形态〔样子〕不好
5、牙龈炎症、红肿、出血
6、口腔异味
7、烤瓷牙里面的基(真)牙龋坏
8、颞颌关节紊乱
详述如下:
1、冷热刺激疼痛
大多是由于制备过程中牙医磨牙过快,对牙髓造成过大刺激,牙髓处于充血状态,或者烤瓷牙做得不够密合烤瓷牙无法隔绝外界不良刺激引起的。
如果刺激在牙齿的耐受范围内,充血状态的牙髓会逐渐恢复正常。这样的烤瓷牙以后一般不会出现问题,可以放心使用。
但如果医生磨牙过于粗暴,牙髓受到过渡刺激,充血的牙髓不能恢复正常,就可能发展成牙髓炎。碰到这种情况,就需要拆除烤瓷牙,治疗里面的真牙了。
需要注意的是,有些医生技术低下,责任心差,没有掌握活髓牙制备技术,往往导致患者佩戴烤瓷牙后不久里面的真牙就出现牙髓炎。在进行治疗时,不拆除烤瓷牙而直接在烤瓷牙上钻孔治疗里面的真牙,因为烤瓷牙的遮盖,不能把握真牙的状况,盲目操作,严重损毁真牙。
如果戴烤瓷牙后牙齿出现冷热刺激疼是烤瓷牙做的不够密合引起的,烤瓷牙就必须拆除重做了,密合是烤瓷牙所必需达到的标准。
2、咬合疼痛
一般是烤瓷牙制作过程中咬合没有调整好造成的。如果是轻微的咬合问题,可以调整咬合后继续使用。如果出现严重的咬合问题,烤瓷牙就必须拆除重做了。
3、颜色不好,显得很假
瓷是很稳定的东西,烤瓷牙的颜色不会随着时间的变化改变,烤瓷牙不管做得过黄还是过白都不会逐渐变得跟自己的牙齿颜色趋近。所以颜色不好的烤瓷牙是肯定需要重新制作的,不要相信医生“时间久了烤瓷牙就会跟牙齿颜色变得接近”之类的话。
4、形态〔样子〕不好
烤瓷牙的形态是由牙医的磨牙技术和技师的制作技术决定的,烤瓷牙的形态做的不好,您对烤瓷牙的样子不满意,一般就需要重新制作了,烤瓷牙的外形可以做轻微的修改,但如果样子很差就必须重做了,这样的牙您不要勉强戴走,直接让您的牙医返工吧。
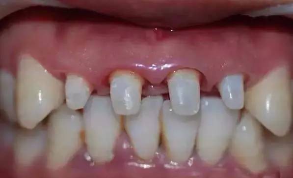
5、牙龈炎症、红肿、出血
造成这些问题主要是烤瓷牙做的不密合,或者边缘过长期,刺激牙龈,引起牙龈炎症。这样的烤瓷牙是必须拆除重做的,否则时间久了牙龈炎会逐渐发展成牙周炎,造成牙齿松动、脱落。
6、口腔异味
因为烤瓷牙做得不够密合,烤瓷牙和口腔组织之间藏纳细菌和食物残渣,细菌代谢物会产生异味。出现这种情况,烤瓷牙也得拆除重做了。
7、真牙龋坏
因为不密合,烤瓷牙和真牙之间藏纳的细菌会逐渐腐蚀真牙,造成真牙龋坏,时间久了真牙甚至会完全烂光,烤瓷牙成为无本之木。有的牙医误导患者,“只要真牙不坏,烤瓷牙就不会坏”,要告诉您的是,烤瓷牙当然不会坏,埋在地下一千多年的古董瓷器,只要您不砸它,一件件都色泽光鲜,质感良好,可墓主的尸身,早就化作泥土了。
所以,看牙还是要去正规的口腔医院和口腔诊所呢~







