HPV即人乳头瘤病毒,人类是HPV唯一的宿主。HPV进入机体皮肤粘膜后,主要潜伏于表皮内基底细胞间,一旦时机成熟它就会致病。

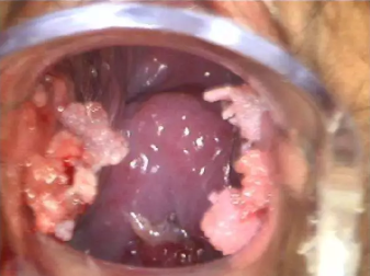
当HPV病毒引起可注意到的变化时,最常见的是生殖道尖锐湿疣 – 通常是出现在肛门周围、阴茎、阴囊(睾丸)、腹股沟或大腿。这些尖锐湿疣可能是各种形式的,从小的、鳞片状的斑点到明显的凸起。尖锐湿疣并不是严重的疾病,是可以治愈的,但是在人体免疫力下降以致无法完全抑制HPV病毒的时候还会出现。
很少的情况下,高危型HPV会引起某些癌症诸如阴茎癌或肛门癌(多见于男同性恋、双性恋或HIV阳性的男性)。
HPV病毒低危刚开始可能会出现小小的,软软的疣状,颜色呈现淡淡的红色,随着病情的加重,面积会逐渐增多,范围增大,慢慢成为菜花状或者乳头状。HPV喜欢在温暖潮湿的环境增长,繁殖更快病变的更快,女性的隐私部位是感染HPV病毒最理想的环境,假如有隐私部位感觉不适,可以及时到医院检查是否感染HPV病毒。
感染了HPV病毒,也会间接导致其他症状的出现,常见的如尿频、尿急、莫名的腰骶疼痛等,主要原因是HPV病毒感染之后,会压迫尿道,就会容易出现尿频急尿急的症状。
如果压迫到患者的直肠,患者会出现下腹疼痛感,并且会出现肛门坠胀的感觉,同时还会伴有便秘等症状。
所以常检查,及早来维康健康网预约接种做好预防,为您的健康添加一份保障!



