1. 什么是声动力疗法?
声动力疗法(Sonodynamic Therapy,简称SDT)是一种无创而精准的新的肿瘤治疗方法,SDT是利用声敏剂高浓度聚集于肿瘤细胞及肿瘤新生血管内皮细胞的“靶向”特性,在无创条件下经影像学精准定位后用特殊超声激活声敏剂,使发生超声化学反应产生单线态氧,从肿瘤细胞夺取电子破坏肿瘤细胞的细胞器造成肿瘤细胞的死亡,同时破坏肿瘤血管上皮细胞使之释放血栓素,在肿瘤血管内形成血栓造成肿瘤组织的缺血性坏死,从而达到准确、彻底杀灭肿瘤的目的,而不损伤正常细胞。

SDT杀伤肿瘤的作用机制:
1.SDT对肿瘤细胞的影响:主要攻击肿瘤细胞的亚细胞器(如:线粒体、粗面内质网及滑面内质网)从而破坏细胞内代谢,直接杀伤肿瘤细胞。
2.SDT对肿瘤微血管的影响:可造成肿瘤滋养血管的内皮损伤,释放血栓素,产生血栓造成肿瘤组织局部微循环障碍,进一步导致病变组织的缺血性坏死。
3. SDT对机体免疫的影响:SDT后肿瘤细胞坏死过程中,能使机体产生大量抗原,刺激机体抗肿瘤免疫。
SDT治疗肿瘤的优点:
无创:利用超声的良好穿透性,仅需在病灶对应的体表位置搁置治疗头头即能到达治疗效果。
靶向性:声敏剂有高浓度聚集于肿瘤细胞及肿瘤新生血管内皮细胞的“靶向”特性,声动力疗法仅针对治疗区的病变组织,对病灶周边的正常组织几乎没有损伤。
精准性:声敏剂能选择性聚集于肿瘤细胞,治疗前可借助影像学精准定位。
安全性:除可预防的光过敏反应外,声敏剂对机体的造血、免疫和各脏器功能没有影响。
高效性: 声动力疗法产生的声化学反应,在破坏病变组织时能激发机体的免疫功能,提高治疗有效率,降低复发率。
可重复性:病人不会产生“耐药性”,可重复治疗。
协同治疗:对手术切除肿瘤后患者,用声动力治疗能更彻底地消灭残留的肿瘤细胞,减少复发,且不影响同时进行的放化疗等治疗。
姑息治疗:对不能耐受手术、或不适合手术、或不愿手术的患者适合,如脑干恶性肿瘤、心肺肝肾功能不全以及高龄等不能接受手术的晚期肿瘤患者。
我科开展声动力疗法治疗情况:
中国中医科学院望京医院外二科于2016年3月起开展SDT治疗各种恶性肿瘤,已治疗包括神经系统恶性肿瘤(大脑恶性肿瘤、小脑恶性肿瘤、脑干恶性肿瘤、颈髓恶性肿瘤等)、消化道肿瘤(胃癌、胆管癌、食管癌等)以及腹膜间皮瘤、乳腺恶性肿瘤术后淋巴结转移瘤、鼻咽癌等,治疗过程中患者无任何不良反应,尤其是脑干肿瘤及高位颈髓肿瘤患者前后如一,监测血常规、肝肾功能指标无变化,治疗后观察肿瘤伴有疼痛患者在治疗后24小时可见疼痛减轻,淋巴结转移患者治疗后72小时即见肿大淋巴结缩小,颅内肿瘤患者在治疗后3天患者症状改善,各种肿瘤在治疗1月后核磁增强检查即可见肿瘤明显消融、坏死、缩小等征象。
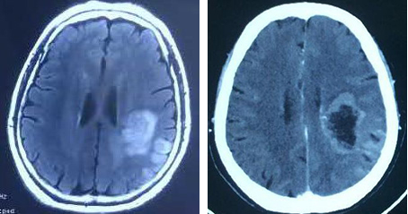
病例1:
女性患者,67岁,2016年9月经查发现左侧颞顶叶占位性病变,于2016年11月7日于天坛医院行活检病理结果提示胶质母细胞瘤(WHO IV级),家属拒绝放化疗后来我院于2016年11月16日行声动力疗法治疗,入院时患者右侧肢体肌力3级,治疗后3天患者右侧肢体肌力4-级,监测血常规、肝肾功能正常,一月后复查头颅MRI增强提示肿瘤明显消融、坏死、缩小等征象。
2016年10月26日声动力治疗前,2016年12月14日声动力治疗后28天 病例2: 患者女性,6岁,2014年9月发现左侧腹膜后神经母细胞瘤(IV期),化疗1年后行肿瘤大部切除术。2016年7月13日入院时超声提示肿物大小约4.0cm×2.6cm。2016年7月16日注射光敏剂后行声动力治疗,期间患者无不适主诉及异常表现,血常规、肝肾功能指标正常。2016年8月26日超声提示肿物大小约2.5cm×1.5cm×2.2cm。
2016年7月13日声动力治疗前 2016年8月26日声动力治疗41天



