牙周炎一旦发生,一般就不是一两颗牙受累,而是整排牙遭殃,后果可想而知。那平时生活中,我们怎么判断有无牙周炎呢?

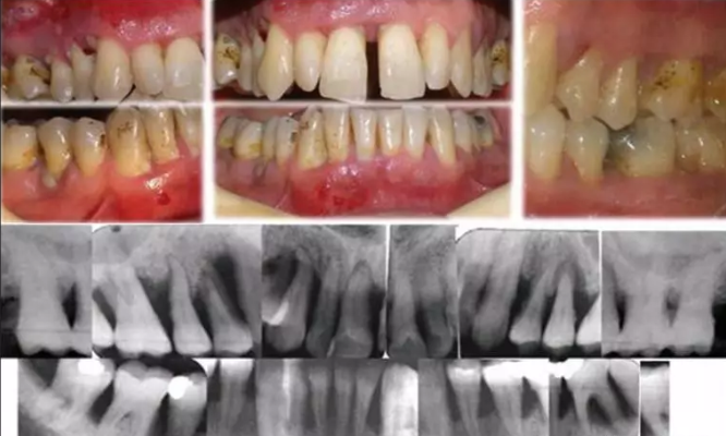
首先我们来了解一下什么是牙周炎,牙周炎又被称为破坏性牙周病,是由于牙菌斑中的细-菌侵犯牙周组织而引起的慢性炎症,可导致牙周支持组织(牙龈、牙周膜、牙槽骨和牙骨质)的破坏,牙周袋(牙齿和牙龈之间缝隙加宽形成的小口袋)形成、附着丧失和牙槽骨的吸收,随着病程进展牙齿会慢慢松动,牙龈退缩可导致牙齿丧失。牙周疾病是常见的口腔疾病之一,号称是成年人掉牙的“头号杀手”(蛀牙是一颗一颗的掉,而牙周病却一排一排的掉)。
牙周炎的表现
1.牙龈出血,刷牙出血是牙龈有炎症表现。
2.持续性口臭,牙周炎引起的牙龈出血,组织发炎,致病菌产生的代谢产物都会造成口臭。
3.牙龈肿痛,牙龈上有个“大包”,也许是才起的,也许是反复肿的。这就是牙周炎症导致的“牙周脓肿”。
4.牙龈发胀、痒或不适,有些患者会感觉牙龈的某个部位有胀痒感或不适感,甚至用牙签或用手指去触碰会有舒适感,这就代表您需要专业的牙周检查和治疗了。
5.牙缝越来越大,牙周病会引起牙龈和下方牙槽骨的退缩,引起牙间本应由牙龈和牙槽骨占据的空间暴露,使患者牙缝越来越大。
6.牙齿松动甚至脱落,当您发现有个别牙齿甚至自行脱落时,一定要及时来进行牙周检查,口内其他牙的寿命就在您的一念之间。
7.牙齿尤其是上下前牙的移位,很多患者发觉自己的上前牙或下前牙在一段时间内慢慢发生了位置的改变,这是牙周炎的症状。
建议如果已经患有牙周病,一定要定期去正规口腔医院维护治疗,有助于保持良好的口腔环境,控制牙菌斑等牙周病危险因素,做到早发现、早诊断、早治疗,将牙周病变控制在起始阶段。预防牙周炎也是关键,就要养成早晚刷牙的习惯,选用适合自己的牙刷,培养使用牙线的习惯

