门牙除了行使咀嚼功能外,还要保持面部的美观,帮助人们发音。生活中,我们却经常会因为一些意外,导致门牙缺失。那么当我们遭遇了门牙缺失,那该怎么办?

假如你的门牙意外缺失了,需要到医院及时治疗,如果长时间不去医院诊断,会令牙齿缺失的地方被其它东西覆盖,这样就会给补牙带来一定的失败的几率。作为消化系统的专业道关口,如果牙齿这位“门卫”懒懒散散未能恪守职责,那么就可能给健康带来不小的麻烦。懒散也倒罢了,万一牙齿因缺失而离岗缺席。那么这个后果就十分严重了。
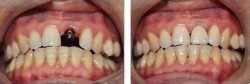
口腔专家介绍,牙齿长时间缺失不单会破坏整个牙弓的完整性,还会“传染”相邻牙齿,使其移位、倾斜。建议大家采用种植牙的方法,种植牙是通过医学方式,将与人体骨质兼容性高的纯钛金属经过精密的设计,制造成类似牙根的圆柱体或其他形状,以外科小手术的方式植入缺牙区的牙槽骨内,在人工牙根上制作烤瓷牙冠。
为什么推荐种植牙呢?
传统的假牙必须依托缺牙左右健康的邻牙来固位,门牙缺失的患者如果采用传统假牙的方式修复,会有明显两个卡环外漏,严重影响了牙齿修复的美观效果。成功的种植牙外观上完全没有痕迹,因为有牙根所以功能上更牢固,因此尤其适合门牙缺失的人。
因不具破坏性,种植牙已被口腔医学界公认为缺牙的优选修复方式。种植牙修复门牙优点:
1、它的咀嚼功能大大优于其它假牙。
2、体积小,不外露金属、美观,更有利于保持口腔清洁卫生。
3、具有很强固位和稳定性,可象真牙很接近扎在患者的口腔里。
4、不影响旁边牙齿,依靠自身的人工牙根进行修复,不用磨旁边的健康牙齿,对牙齿没有伤害。
5、不需要活动牙必备的基托和卡环,没有大面积的基托导致的味觉迟钝与不舒适感。
6、对于某些用传统假牙修复困难或效果不佳的患者,口腔种植牙更具优越性。
7、美观逼真,可以根据就诊者的脸型、其他牙齿的形状与颜色制作牙冠,达到整体协调和美观的较佳效果。
综上所述,门牙缺失采用种植牙修复是理想的方式。建议选择医院要去正规医院进行种植,因为正规的医院无论是行医规范还是技术设备,医师资质等都有保障。祝您早日修复缺失门牙,拥有一口健康美观的牙齿。


