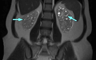
说到遗传病,常见就要数多囊肾了,它的遗传几率高达50%,又被叫做囊胞肾。因为遗传的关系,多囊肾的发病期分为婴儿型和成年型,前者比较少见,多是发生在青中年时期。除了肾脏有囊肿之外,胰腺、肝脏、大脑等器官也可伴随囊肿。
多囊肾的临床症状最典型的要数多尿、尿血、肾区疼痛等。多囊肾能引起诸多并发症,肾结石、尿路感染、高血压等,多囊肾能严重损伤肾功能,在没有控制住病情的情况下能直接导致尿毒症。

在治疗上主要是采用对症治疗,对多囊肾引发的并发症采取针对治疗,或肾移植手术。对于药物可用——托伐普坦。
托伐普坦对于治疗低钠血症和多囊肾病是非常有效的,同时也是抑制囊肿增长、延缓多囊肾恶化最有效的药物。不过可能会伴有口干、渴感、晕眩、恶心等不良反应。
多囊肾是一种不可逆转的疾病,患上多囊肾之后要格外注意自己的生活方式。做到多喝水、少吃盐、多吃水果、注意休息、忌烟酒辛辣食物等。
为什么会容易造成肾结石?
因为囊肿中存在液体,这些液体没有及时排出肾脏,在肾脏中累积,液体中的物质容易沉淀久而久之肾结石就形成了。多囊型肾结石比起一般的肾结石更难治,也更容易复发。所以多囊肾的患者要做到多喝水,及时排出脓液,减少结石,肾盂肾炎也应该多喝水。
治疗多囊肾结石要看结石存在的部位,如果是在多囊肾的一侧,一般是不进行治疗和处理。如果结石没有引起明显的症状,也不需要进行处理,要小心肾结石对肾脏造成出血,多囊肾出血,是可能危及肾脏和生命的。
另外,患上多囊肾之外,要时刻注意自己的血压。因为肾病本来就容易导致高血压的出现,而多囊肾在高血压的作用下,会加速肾衰,所以控制住患者的血压也成了多囊肾患者的主要的治疗措施。
因为多囊肾的遗传性很高,很多小孩都因为肾衰而离开人世,所以根据我国的《婚姻法》,多囊肾患者是禁止生育的。所以结婚后一定要实施基因阻断技术,防止多囊肾在下一代身上出现。


