此账号为大风号风铃计划加盟成员,文章为凤凰网独家版权所有。
文/张玉蛟 (美国 MD 安德森癌症治疗中心 终身教授)
一、确诊并入院的患者中,死亡率为何高达15%?
1月24日,十多名中外学者在国际著名的《柳叶刀》杂志上连续发表了8篇关于武汉肺炎的研究报告,首次揭示了武汉肺炎的流行病学,临床,实验室和放射学特征,治疗和临床结局,引起国际社会广泛的关注。这些文章系统地研究了武汉肺炎最先入院的41例患者,在1月2日以前入院的病程和治疗效果分析得出以下四大结论:
1. 确诊并入院的患者中,32% 进入ICU,这些患者多有细胞因子风暴,死亡率达15%。
2. 只有66%的患者去过武汉海鲜市场,明确有人传人的因素;同时,香港学者报道了一个家庭六个人全部感染(包括一例儿童)的特例,再次提示人传人的迹象。
3. 发热和肺炎与SARS 症状十分相似,但上呼吸道感染症状较轻。2019-nCoV很可能与中国马蹄蝠携带的冠状病毒密切相关。目前,已知有六种冠状病毒(包括2019-nCoV在内则有七种)能够导致人类呼吸系统疾病,但迄今为止,仅有传染性非典型肺炎(SARS)和中东呼吸综合征(MERS)导致了大规模爆发且死亡率高(分别为10%、37%)。

4、根据这篇文献的报道,这41个患者,有93%都使用了抗病毒药物。研究表明,抗流感病毒的药物,对于冠状病毒没有作用。
分析这几篇权威研究文章,明确地提出并验证了之前存在的几大误区与真相:
1. 危险性高:早在1月2日以前,足够的临床资料已经提示了严重的危险性:入院患者15%的高死亡率。
2. 存在人传人:早在1月2日以前,足够的临床资料已经说明人传人,44%的患者没有去过海鲜市场;一个家庭六个阳性。
3. 存在示警延误:尽管严酷的现实在一月二号已经摆在我们面前,遗憾的是,直到1月20日,经老英雄钟南山院士挂帅,才第一次公布2019-nCoV的严重性和传染性,整整拖延了近20天。
二、现在还不能排除武汉肺炎病人的尿液和粪便是否具有传染性?
为了帮助民众对武汉肺炎有更全面的认识,遵行必要措施,避免过度紧张和上当受骗,我在这里根据国际上通行的防疫以及多年从业经验,提出四个关于未来武汉肺炎病人重点注意事项:
1. 15%死亡率可能高估了
15%的死亡率指的是这些确诊而且症状严重到要住院的患者。国内正处于流感季节,国家“疾病预防控制局”去年11月发布的数据称,一个月所发生的流感有156205例,目前有呼吸道感染症状的病人,相当一部分人是因为普通病毒感染,并非2019-nCoV 感染。同时,一些感染2019-nCoV的患者症状相对较轻,所以他们的死亡率应该明显低于15%。大家不要太过于惊慌
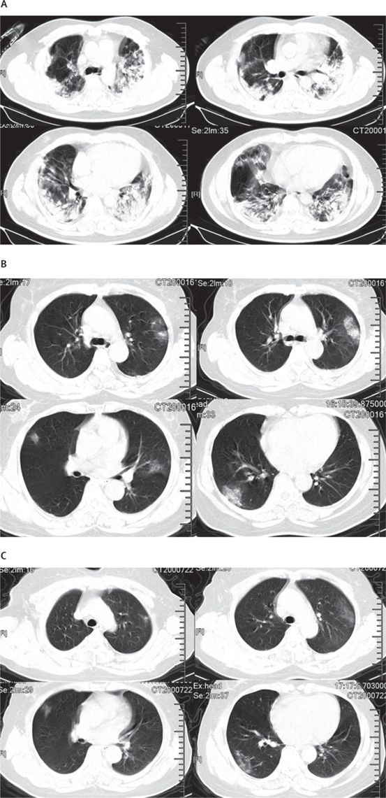
图为肺炎患者的CT显示的不同的症状
2、 武汉肺炎病人的尿液和粪便是否具有传染性?
许多重要问题尚未得到解答,包括其动力物起源,传播途径(除了呼吸道)和在人类中传播的持续时间以及能传几代,感染其他动物宿主的能力和人类感染的范围及发病机理。现在也不能排除病人的尿液和粪便具有传染性,因此,必须先当它们会传染来处理。由于上呼吸道感染症状轻,加上近14天的潜伏期,社会上会有许多的“健康”无症状的病毒携带者,他们是广泛传播的主力军。所以,不论亲朋好友,少聚会,勤洗手,带口罩。
3. 武汉肺炎患者可能有特殊自愈机制?并无经过验证的有效药物。
尽管目前新闻媒体里有许多自称对病毒有效的药物,但是没有任何一个药物经过科学的验证。有人自称吃某种药好了,事实上许多患者没吃那个药也好了。除支持治疗外,尚无在人类中证明有功效的特异性冠状病毒抗病毒药或疫苗。未来的动物模型和临床研究应集中于评估有前途的抗病毒药物以及针对免疫病理宿主反应的疗法的有效性和安全性。
大部分患者会靠自己的免疫力慢慢淸除病毒,完全恢复。但是,免疫反应是个双刃剑。目前已知,导致严重肺炎的原因是免疫反应所产生的大量细胞因子的释放。因此,在症状严重的情况下,激素可以用来减轻机体的细胞因子反应。但是激素也有可能延缓清除病毒的过程。
4. 不要转易判断认为青少年不易感染武汉肺炎
这41例患者没有1例年龄小于18岁。有人由此得出结论说青少年儿童不容易感染。但事实可能是青少年没有足够的机会接触感染源。打个比方,18岁以下的青少年很少开车出车祸。我们不能下决论说青少年开车更安全。出车祸少是因为他们没有驾驶执照。
灾难一来,有的人想推卸责任,有的人想借机卖药发财,也有人唯恐天下不乱,我们要多动脑筋。





