一名6岁的女童在视力检查出现问题后被转介到眼科。经检查,她的左眼视力下降(20/80)和色觉(仅限控制板)。右眼视力和色觉正常。她有一个低振幅,高频摆动的水平眼球震颤,是双侧的,但不对称(左眼比右眼大)。眼底扩张检查,双侧弥漫性视神经苍白(左眼也大于右眼)(图1)。

图1:彩色眼底照片显示双侧弥漫性视神经苍白
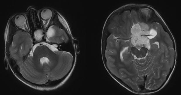
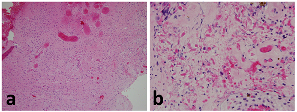
大脑的磁共振成像(MRI)扫描,显示高质量在鞍和蝶鞍部占位(图2)。病人接受了内镜活检(图3),这证实了诊断视神经通路的神经胶质瘤(星形细胞瘤),患者被转到遗传学部门评估1型神经纤维瘤病(NF1)的其他特征,但没有发现。她被转到肿瘤科,开始化疗,包括每周长春新碱和卡铂。在治疗期间,患者接受了一系列眼科检查和神经影像学检查。
图2:轴位t2加权MRI图像显示在蝶鞍和鞍上区域有一个大的、实性的、囊性分叶状肿块。
图3:视神经胶质瘤的组织学。低倍镜(a)显示纤维背景中有中度细胞性肿瘤。高倍图像(b)显示罗森塔尔纤维/嗜酸性颗粒体和透明血管。
在长春新碱和卡铂化疗的初级疗程中,她的视野在两次连续的眼科检查中恶化,一次重复的MRI显示肿瘤增大。她被诊断为肿瘤进展,她的化疗方案改为硫鸟嘌呤,丙卡嗪,CCNU和长春新碱。MRI显示肿瘤进一步增大,脑室增大。病人被转到神经外科并接受了肿瘤次全切除。手术后6个月,她的病情稳定下来,直到MRI检查发现残余肿瘤增大,这导致了第三次埃维莫司化疗。治疗结束后,她进行了定期的眼部检查和神经成像,并保持稳定5年。
什么是视神经胶质瘤?
视神经胶质瘤(视神经胶质瘤)是儿童胶质瘤的重要亚型。胶质瘤是儿童较常见的原发性中枢神经系统(CNS)肿瘤,约占儿童大脑和CNS肿瘤的50%,总体人群发病率为3-4 / 10万。视神经胶质瘤在儿童颅内肿瘤中约占2%-5%。这些肿瘤主要发生在生命的前10年,发病率随年龄增长而下降。
视神经胶质瘤管理
儿童视神经胶质瘤的管理是复杂的,应该在有治疗儿童癌症重要经验的中心进行。开始治疗的决定通常不是直接的,可能取决于几个因素,包括患者的年龄、肿瘤位置和大小,以及视觉症状。视神经胶质瘤是典型的低级别肿瘤,不会转移,甚至可能自行消退。因此,视神经胶质瘤并不总是需要治疗,非进展性肿瘤通常被保守地监测,治疗通常被推迟,直到有进展的证据。在诊断视神经胶质瘤后,患者应进行一系列的神经影像学和眼科检查。第一年至少每3个月进行一次视力检查,视功能稳定时应逐渐增加检查间隔。根据神经成像设备的可用性,连续磁共振扫描可以在相同的间隔或更少的频率进行。
视神经胶质瘤何时需要治疗?
当有进展性疾病的证据时,就需要进行治疗,尽管目前对于究竟什么是肿瘤进展并没有普遍接受的指导方针。一般的共识是,视神经胶质瘤应被认为是进行性的,当有恶化的视觉功能与相应的扩大肿瘤的放射成像。功能恶化与肿瘤增大相结合是急诊治疗的明确指征。然而,当视觉功能明显恶化而MRI未改变时,或肿瘤增大而MRI未改变视觉功能时,则更为复杂。在这些病例中,应在与患者和患者家属协商的基础上,由肿瘤科和眼科服务部门共同决定是密切治疗还是密切监测。
视神经胶质瘤治疗首选手术
临床研究表明,手术本身很少能治愈视神经胶质瘤。即使肿瘤表现出良好的边界限制,并可通过传统的外科手术方法成像,肿瘤的边界往往超出MRI的发现提示。此外,手术有明显的不良反应。例如,如果不牺牲整个视神经,就不能切除视神经的视神经胶质瘤,从而导致受累的眼睛完全丧失视力。涉及交叉的视神经胶质瘤常与邻近的结构如下丘脑密切相关,排除了安全切除整个肿瘤的可能性。
虽然外科手术通常不能治愈,但它在视神经胶质瘤的治疗中起着重要的作用。如上所述,手术活检可能是确定诊断的关键,特别是在非典型临床或放射学发现的病例。此外,次全切除可能有助于引起梗阻性脑积水或对邻近结构产生肿块影响的大的鞍上肿瘤。即使整个肿瘤没有被切除,视神经胶质瘤通常生长非常缓慢,患者在次全切除后可能很多年都保持稳定,不需要进一步的治疗。最后,手术切除继续在晚期视神经胶质瘤中发挥重要作用,没有治疗严重毁容性突出或角膜暴露疼痛的视觉潜力。
INC国际神经外科医生集团视神经胶质瘤案例一则:术前与术后MR影像对比显示,切除率> 98%
患者小朋友今年5岁,第一次北京术后显示患者鞍区及三脑室肿瘤残余较大,双侧视神经被肿瘤侵犯,下丘脑也被严重挤压,左侧脑室积水明显,状况并没有得到明显改善。
该名患者由于视神经被肿瘤浸润包裹,很难将视神经完全地从肿瘤肿块中剥离出来,稍有不慎面临着失明的危险。北京第一次术后状况急转直下,就诊国内神经外科知名医院后得到的回复是:无法再次进行手术。患者在国内求医无望后,把视野投向了世界范围,委托INC寻找全球更擅长这个位置手术、并且切除率更高、风险更小的专家和医院。在INC的帮助下,最终在德国INI成功手术。德国术后回国,嗜睡缓解,精神状态好多了,也基本不抽搐了,视力也在慢慢恢复
视神经胶质瘤放射治疗
放射治疗以前是一种常见的治疗视神经胶质瘤的儿童。然而,长期随访显示,接受放疗的患者有发生严重并发症的显著风险,如继发性中枢神经系统肿瘤和闭塞性脑血管病。49 .严重并发症的风险在年轻患者和NF1患者中特别高。因此,现在很少使用辐射,除非用尽了所有其他治疗方法或出于姑息性原因,否则应避免使用辐射。
视神经胶质瘤化疗
化疗现在通常被认为是儿童视神经胶质瘤的一线治疗方法。典型的初级化疗是每周使用卡铂和长春新碱,这对控制新诊断的进展性低度胶质瘤是有效的。随后发现该治疗方案可改善nf1相关视神经胶质瘤患者的视力。目前缺乏证据证明卡铂和长春新碱对非NF1患者视神经胶质瘤的有效性,但一线治疗大体相同。
如果在化疗期间或之后有肿瘤进展的证据,治疗的下一步通常是改变不同的化疗方案。如果患者出现卡铂过敏反应(约40%的儿童患者都有这种反应),治疗方法也需要改变。目前使用的二级化疗药物包括替莫唑胺、贝伐珠单抗、顺铂依托泊苷和长春碱等。
视神经胶质瘤预后——视力丧失比较常见
儿科视神经胶质瘤患者总体预后良好。几项大型研究报告5年生存率超过95%,10年生存率超过90%。一项研究表明,确诊后15年以上的存活率可能显著降低,但长期数据有限。死亡通常是由于肿瘤的进展,尽管血管并发症和化疗毒性也是潜在的病因。
与儿童视神经胶质瘤的低死亡率相比,视力损害的发生率较高。由于视力丧失是常见的,并且对生活质量有深远的影响,因此视觉功能已成为研究、监测患者和指导治疗决策的关键结果指标。NF1的存在与否对视觉功能的预后有重要影响。在视觉结果的长期研究中,少于50%的nf1相关的视神经胶质瘤患者有任何视力损害的证据,而超过75%的非nf1相关的视神经胶质瘤患者有视力损害的证据。其他报告的视力损害的危险因素包括交叉后受累、诊断时的年龄偏小和视神经苍白。
INC国际神经外科医生集团提示:视神经胶质瘤(视路胶质瘤)占儿童所有颅内肿瘤的5%。大约50%的视神经胶质瘤出现在1型神经纤维瘤病(NF1)患者中,这些患者必须定期监测早期视觉功能障碍的迹象。虽然大多数视神经胶质瘤是低级别的毛细胞性星形细胞瘤,但也有更具有侵袭性的变异可通过脑脊液传播。潜在的临床表现特征是高度可变的,MRI神经成像在所有疑似病例的检查中是必不可少的。一旦确定,在开始治疗前,通常以化疗的形式,经常监测视神经胶质瘤进展性疾病的迹象。虽然视神经胶质瘤的总体存活率很高,但存在明显的视力损害风险。多学科团队的协作管理至关重要。



