小美的盆友说牙疼,前几天看牙了,回来跟我说,医生说她长了4颗智齿。医生给的建议是拔牙,如果自己觉得咬合没有问题,也没有经常发炎,可以先不用拔,但是如果经常引起发炎就可以考虑拔除了。那么问题来了,长了4颗智齿,可以一起拔除吗?要怎么拔合适呢?

智齿也称智慧齿、是人类的第三磨牙
随着遗传基因的不同智齿一般会在16-30岁之间长出,也是人一生中最后长出的牙齿,所以它最靠近喉咙,因为此时期的人们心智比较成熟而得名。
每个人都会长智齿吗?
不一定,不是每个人都会长智齿,本身是由家族基因所决定,如果长智齿,一般是1-4颗不等。
智齿不疼也需要拔吗?
当智齿属于完全正常萌出时,并且和前一颗牙齐平,咬合正常则不需要拔;
当智齿属于完全埋伏时,需要长期观察再做判断。
如果是站在医生的立场,他通常会建议你拔掉,以避免产生后患,所以是一次痛,终生免疫。
不过,如果你觉得智齿没有妨碍你,那么,你可以自己决定,到底要不要拔掉它。
通常,牙医会基于下列几点理由,建议拔掉智齿:
1.蛀牙:如果智齿蛀牙,除了很简单的咬合面不深的蛀牙可以补之外,那些邻接面蛀牙,需要很好的技术,以及蛀得很深,甚至需要根管治疗的,我们一律建议拔除,杜绝后患。
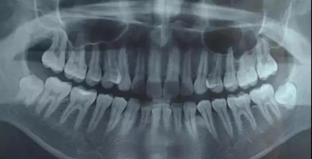
2.侵犯邻牙:通常患者不自知,而由牙医以X光诊断得知。通常智齿萌发的空间不足,而会倒在第二大臼齿上,因而造成第二大臼齿清洁不易,甚至是牙齿部分吸收的现象,造成患者不舒适或牙疼。
3.空间不足:智齿在人类的演化史上,是属于消逝状态。因此牙弓也越来越小,空间不足的情况是很常见的。以萌发的时候最能感觉到肿胀、疼痛感。很多人就是因为不能忍受这种疼痛感,而决定拔掉智齿。
4.清洁不易:由于空间不足的关系,智齿常长得歪七扭八,因此常造成清洁牙齿的困难,以致发生蛀牙现象。
5.没有对咬牙:前面提过,不是每个人四个智齿都会长齐的。所以,智齿的对面,如果没有相抗衡的智齿来对咬的话,有时会发生智齿过度萌发,进而影响咬合。
6.阻生齿:通常这是最讨厌的一种,牙医会觉得很难搞定,但病人却不一定有感觉,因此忽略了。这一种类型的牙齿,通常埋在齿槽骨的里面,如果会痛,或是诊断会有病灶发生的时候,就需要拔除了。
智齿发炎的时候可以拔牙吗?
不可以,拔智齿属于有创操作,如果发炎时拔牙感染会向其他区域的扩散,引起更大的感染。
4颗智齿可以一起拔吗?
可以一起拔,但是具体的情况还得由牙科医生面诊之后来决定。
根据技术情况,有的可以一起拔
有的会建议一次拔一颗或者两颗
拔过之后过一到两周再拔另一颗
拔智齿可以瘦脸了?
智齿是在下颌骨完全成型之后才萌出,是否拔除,对下颌角的角度没有影响,所以为瘦脸去拔除智齿是完全没必要的。之所以有人说自己智齿拔除之后确实瘦了,可能是因为拔牙术后疼痛和肿胀,进食减少,当脸部消肿,加上一段时间饮食控制,让人产生拔智齿瘦脸的错觉。
看完这些,赶紧拿起镜子看一下自己有没有长智齿吧!





