分享系列(十四)
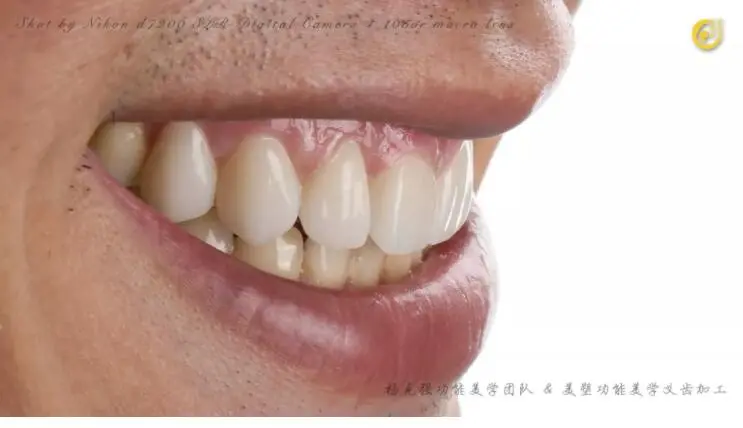
ArgenZ ST ML 案例分享
作品提供:
杨克强功能美学团队作品(三)







高端全瓷
ArgenZ氧化锆往期案例分享
ABOUT US
ArgenZ特殊长桥案例分享篇
分享篇:特殊长桥 ( 二 )
分享系列(三)ArgenZ ST ML 超透多層案例分享
分享系列 (四) 特殊长桥作品
分享系列 (五) 特殊长桥作品
分享系列 (六) ArgenZ HT+ 前牙美学修复
分享系列 (七) ArgenZ ST ML多层锆仿真表现
分享系列(八)ArgenZ ST ML 超透多層案例分享
分享系列 (九) ArgenZ HT+ 全口种植牙修复
分享系列 (十) ArgenZ HT+ 彩锆A3, All-on-4案例
分享系列 (十一) ArgenZ ST ML 超透多层彩锆
分享系列 (十二) ArgenZ HT+ 彩锆A2案例分享





