“在过去,子宫腺肌瘤的治疗方式主要是通过手术切除子宫。然而,这种手术方式往往不被患者接受,术后还可能会引起卵巢功能早衰。患者除了要面对生理上的不适,还必须忍受心理上的煎熬。但随着微创技术的进步,子宫腺肌瘤的微波消融技术正逐渐成为当前备受关注的治疗方法。这项技术具有巨大的优势,对传统治疗方式产生了强烈的冲击。”南京同仁医院妇产科主任万贵平这样说道。

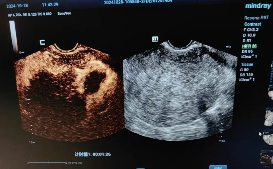
年仅41岁的李女士被子宫腺肌瘤困扰7年多了,有进行性加重的痛经、月经量大、贫血、经常性便秘和尿频等症状。为了治疗这个疾病,李女士四处就医,病程中给予曼月乐环宫腔置入3次(因宫腔过大及月经量过多而脱落),她还用过醋酸亮本瑞林皮下注射,还间断服用过地诺孕素及中药合剂,都没有解决她的痛苦,要完全根治李女士的病症,最彻底的方式是手术切除子宫。然而,对于比较年轻的李女士来说很难接受这种手术方式。经过辗转,李女士来到南京同仁医院妇科门诊找到了万贵平主任。万教授仔细地询问了李女士的病史及其要保留子宫的强烈意愿。由于李女士曾经做过两次子宫下段剖宫产,并且子宫腺肌瘤的病灶位于子宫后壁,最大径线达72mm,经皮及经阴道微波消融极易损伤膀胱直肠及周围组织结构。为了微波消融的精确及安全的进行,万教授为李女士制定了腹腔镜下子宫腺肌瘤微波消融术的手术方案,在腹腔镜及阴道超声引导下行子宫腺肌瘤微波消融。在妇产科、超声科、麻醉科医生的密切配合下,不到1小时就完成了子宫后壁腺肌瘤的消融,术后患者无发热,有轻微的下腹痛。术后5天行超声造影显示腺肌瘤坏死体积达90%,手术非常成功,李女士保住了自己最珍视的子宫,满怀感激的出院了。
科普小知识:子宫腺肌瘤微波消融治疗优势:1.创伤很小,只有牙签直径的针眼。2.保留子宫,不影响患者月经周期,不影响患者卵巢功能。3.直接针对病灶治疗,对周围子宫肌组织及子宫内膜无损伤。4.治疗过程安全,消融时间仅需几分钟。5.恢复快,患者当天即可下地活动,第二天即可正常生活。6.术后患者痛苦极少。7.临床效果好,消融后的病灶组织可随月经自然排除体外或被机体逐渐吸收。8. 可消除痛经、贫血等临床症状,改善患者的生存质量。(刘袁静)


